A narrow escape.
high-energy comminuted fractures of sacrum and pelvis - are they always
associated with neurological deficits? A report of two cases
Sacral fractures are common in high-energy trauma events such as in road traffic accidents with neurological deficits expected in most of these cases especially when the fracture involves the zones in the sacrum close to the sacral foramina and canal. When undiagnosed and untreated, sacral fractures result in significant neurological deficits to the lower extremities and urinary, rectal, and sexual dysfunctions [1]. We report two cases of high-energy impact sacral fractures (Denis zone 2) who fortunately did not incur any neurological damage.
Case 1:
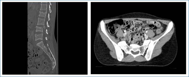
A 31 years old male, Chinese construction worker was involved in a road traffic accident when he was hit by a truck's front wheel while cycling, causing trauma to his left pelvis and left leg. Injuries sustained include comminuted fracture of the left hemi-sacrum, sacral ala involving the left S1-3 foramina (Denis zone 2) along with urethral and penile shaft disruption, fracture of the superior and inferior pubic rami, L5 transverse process fracture, medial collateral ligament damage on left knee. A neurological examination done at the time of admission was intact. Subsequently, he underwent posterior instrumented fusion and stabilization L4 to pelvis and suprapubic catheterization. The rest of the injuries were managed conservatively.
On transfer to the rehabilitation department, a detailed neurological assessment along with ASIA Impairment scale scoring was done which showed decreased sensation in L2 dermatome which improved after his thigh hematoma subsided. Following urethroplasty, he was able to void normally. After achieving adequate pain control post-surgery and after a period of rehabilitation, he was discharged with good functional recovery. On further follow-up in the outpatient clinic, the patient was found to be ambulating independently without any aids, had full sphincter function control and no residual sensory loss.

Figure 1. 31-years-old male with polytrauma involving sacral fractures at left S1-3 foramina (Denis zone 2)
Case 2:
A 25 years old female, Indonesian domestic worker had fallen off the 2nd floor of her flat and suffered polytrauma. Injuries sustained include burst fracture of L2-4 vertebrae, sacral comminuted fracture (S3-5), an antero-superiorly displaced L5 vertebral body, along with right basal skull fracture, right mandibular fracture and right calcaneal fracture. No saddle anesthesia or sensory-motor deficits were recorded on admission. She underwent posterior instrumented fusion T11-Pelvis with decompression Laminectomy at L4.
On transfer to the rehabilitation department, the patient had no abnormal neurological findings with no cord or nerve root involvement. Though the S3-5 sacral comminuted fracture was found to be close to the sacral canal (Denis zone 2), sphincter function which was carefully recorded was confirmed to be intact. Post-surgery pain control was optimized and after a period of rehabilitation, she was walking independently without aids and discharged with good functional recovery.

Figure 2. 25-years-old female with polytrauma involving S3-5 sacral vertebral fractures (Denis zone 2)
Whilst sacral fractures can be sustained with high-energy impact poly-trauma, they can also occur as insufficiency fractures with relatively trivial accidents in osteoporotic bones. Denis et al. in 1988 did a retrospective study of 236 patients with sacral fractures and described sacral fractures into 3 zones according to radiological location. While zone 1 fractures occur in osteoporotic bones and escape neurological damage [1], zone 2-3 fractures are usually associated with neurological loss [1, 2] . Zone 2 fractures involving the region of the sacral foramina, being frequently associated with sciatica and Zone 3 fractures involving the region of the central sacral canal, frequently being associated with saddle anesthesia and loss of sphincter function.

Figure 3. Denis classification of sacral fractures
However, more recent work done by Sugimoto et al in 2010 in a retrospective study of 22 patients found that the incidence of lumbosacral plexus injury was not related to the zone of sacral fractures [3]. Instead, the risk factors for lumbosacral plexus injury were high in the longitudinal displacement of the pelvis and transverse sacral fractures [3-5].
These two cases that we have discussed here, both involve high-energy impact fractures resulting from poly-trauma, associated with sacral bone fracture close to the sacral foramina. Though these (Denis Zone 2) fractures are assumed to have a high likelihood of neurological damage, in both our cases, the patients escaped neurological damage, supporting the findings of Sugimoto et al [3] suggesting that the zone of sacral fracture is not directly associated with the degree and type of neurological injury. This understanding if proven further, may help surgeons to make decisions regarding conservative versus operative management in similar cases. However, further analysis of similar cases and their outcome is needed in this regard.
High-energy impact sacral fractures after polytrauma are often assumed to be associated with significant neurological damage especially when the fractures are in Denis Zones 2 & 3. However, our findings in 2 cases along with recent evidence suggest that the risk of lumbosacral plexus injury is not related to the zone of sacral fractures, but rather related to the displacement of the pelvis and with transverse fractures.
Keywords
1) High-energy impact fractures
2) Sacral fractures (Denis zone 2-3 fractures)
3) Neurological injury with sacral fractures
4) Pelvic trauma
Source of Figures 1a,b and Figures 2a, b: Department of Rehabilitation Medicine, Changi General Hospital, 2 Simei street 3 Singapore 529889.
Source of Figure 3 from paper- Sacral fractures: an important problem. Retrospective analysis of 236 cases. Denis F, Davis.S., Comfort T. Minnesota spine centre, Minneapolis. Clinical orthopedics related Res. 1988 Feb; 227:67-81
[1] Denis F, Davis S, Comfort T. Sacral fractures: an important problem. Retrospective analysis of 236 cases. Clin Orthop Relat Res 1988;227:67-81. PubMed PMID: 3338224. [Google Scholar]
[2] Fujii M, Abe K, Hayashi K, Kosuda S, Yano F, Watanabe S, et al. Honda sign and variants in patients suspected of having a sacral insufficiency fracture. Clin Nucl Med 2005;30(3):165-9. Available from: https://insights.ovid.com/crossref?an=00003072-200503000-00004 PubMed PMID: 15722819. doi: 10.1097/00003072-200503000-00004. [Google Scholar]
[3] Sugimoto Y, Ito Y, Tomioka M, Tanaka M, Hasegawa Y, Nakago K, et al. Risk factors for lumbosacral plexus palsy related to pelvic fracture. Spine (Phila Pa 1976 2010 Apr;35(9):963-6. Available from: https://insights.ovid.com/crossref?an=00007632-201004200-00007 PubMed PMID: 20150832. doi: 10.1097/BRS.0b013e3181bb85d0. [Google Scholar]
[4] Massin P, Vidil A, Thoumie P, Huten D. A propos of an unusual case of lumbar-pelvic dislocation in a suicidal jumper. Rev Chir Orthop Reparatrice Appar Mot 1997;83(3):270-3. PubMed PMID: 9255364. [Google Scholar]
[5] Hersche O, Isler B, Aebi M. Follow-up and prognosis of neurologic sequelae of pelvic ring fractures with involvement of the sacrum and/or the iliosacral joint. Unfallchirurg 1993;96(6):311-8. PubMed PMID: 8342059. [Google Scholar]